在大脑的神秘世界中,神经干细胞(NeuralStemCells,NSC)的静息和增殖之间的微妙平衡至关重要。这种平衡不仅影响成人神经发生和体内平衡,还决定了大脑能否有效地修复和再生。小的泛素相关修饰物(SUMO,SmallUbiquitin-relatedModifier)依赖性的翻译后修饰能够在瞬间改变蛋白质的功能,但其在神经干细胞再激活和大脑发育中的作用一直是个谜。
近日,一篇发表在国际杂志NatureCommunications上题为“SUMOylationofWartskinasepromotesneuralstemcellreactivation”的研究报告中,来自杜克-新加坡国立大学医学院等机构的科学家们通过研究揭开了控制神经干细胞再激活的特殊机制。这项研究不仅为理解大脑修复提供了新线索,还可能为治疗阿尔茨海默病和帕金森病等神经退行性疾病带来新的希望。

研究背景
研究发现
在这项研究中,研究人员发现,一组特定的蛋白质通过一种名为SUMO化修饰(SUMOylation)的过程在唤醒休眠神经干细胞中扮演着重要角色。SUMO化修饰是指一种名为SUMO的小型蛋白质标记细胞内的靶标蛋白,从而影响其活性或功能。研究人员发现,这些SUMO标记的蛋白质能够诱发神经干细胞的再激活,促进大脑的发育和修复。

SUMOE2和E1是神经干细胞再度激活所必需的
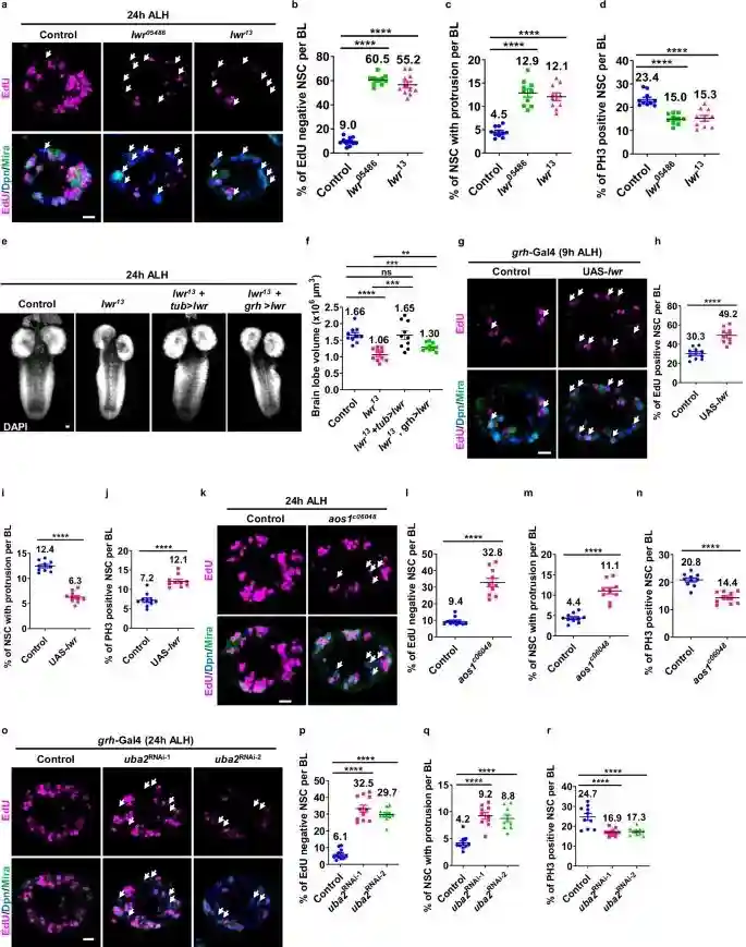
研究人员使用果蝇作为模型,发现如果没有SUMO蛋白存在,果蝇会出现小头样表型(microcephaly-likephenotype)。这是首次发现SUMO蛋白家族在神经干细胞的再激活中发挥着确切的作用。研究者GaoYang表示:“我们首次发现,SUMO蛋白家族在神经干细胞的再激活和整体大脑发育过程中发挥着关键作用。当这些蛋白质缺失时,正常的神经发育就会受到阻碍,导致果蝇发育出类似小头症的小型大脑结构。”
进一步的研究揭示,SUMO化修饰能够调节一种名为Hippo的关键蛋白质。Hippo通路已知在多种细胞过程中扮演重要角色,如细胞增殖、细胞死亡和器官大小调节等,但其在大脑中的具体调节机制尚不清楚。当Hippo通路的中心蛋白质Warts(限制细胞生长并阻止神经干细胞的再激活)被SUMO化修饰时,其功能会减弱,从而允许神经干细胞不断生长和分裂,形成新的神经元,促进大脑功能。
WangHongyan教授指出,由于SUMO蛋白和Hippo通路在人类机体中高度保守,因此这些研究发现不仅适用于果蝇,对理解人类生物学奥秘也至关重要。SUMO化修饰和Hippo通路的中断与多种疾病有关,包括癌症、阿尔茨海默病和帕金森病等神经退行性疾病。研究人员对SUMO化修饰在大脑中所扮演角色的新见解,为开发新的干预措施提供了机会,有望帮助开发能利用机体自身再生能力的新型靶向性疗法。
研究人员已经证明,果蝇的神经干细胞是一个优秀的模型,能够帮助揭开休眠、再激活和神经元再生的奥秘。这些发现不仅有助于理解细胞工作和被控制的机制,还为开发针对人类神经退行性疾病的新型再生疗法提供了新的可能性。随着研究的继续,未来有望找到新的有效方法来帮助治疗患者并改善其生活质量。
综上所述,这项研究揭开了SUMO-Hippo通路在果蝇神经干细胞再激活和大脑发育过程中的重要角色。通过深入理解这一机制,科学家们为开发治疗神经退行性疾病的新方法打开了新的大门,为未来的医疗创新带来了希望。
参考文献:
Gao,Y.,Tan,,Lin,,8557(2024).doi:10.1038/s49-y