
人体骨骼因形态不同而分为长骨、短骨、扁骨和不规则骨
四肢长骨包括肱骨、桡骨、尺骨、股骨、胫骨、腓骨等
长骨由骨干和骨骺构成,含骨密质、骨松质、骨膜、关节软骨以及骨髓等成分
骨松质:分布于长骨的骨骺和骨干骨髓腔面,由骨小梁(骨板和骨细胞)相互连接呈海绵状结构,其间充满红骨髓
骨密质:分布长骨的骨干和骨骺外表,可分为环骨板,骨单位(中央管和骨单位骨板)和间骨板
骨膜:由致密结缔组织组成


肱骨
肱骨分一体两端
上端朝向后内方呈半球形为肱骨头,头周围的环状浅沟为解剖颈,上端与体交界处稍细为外科颈
体上半部呈圆柱形,下半部呈三棱柱形,后面中部有桡神经沟(桡神经和肱深动脉)
下端较扁,内上髁后方有尺神经沟(尺神经)


桡骨、尺骨
桡骨:居前臂外侧,分一体两端,上端膨大为桡骨头,头下略细为桡骨颈,下端前凹后凸,外侧向下突出为茎突
尺骨:居前壁内侧,分一体两端;上端粗大,前面有一类圆形深凹为滑车切迹,其后上方突起为鹰嘴;下端为尺骨头


股骨
人体最长最结实的长骨,分为一体两端,上端有朝向内上的股骨头,头下外侧的狭细部为股骨颈
下端有两个向后突出的膨大,为内侧髁和外侧髁,两髁之间的深窝为髁间窝,两髁侧面最突起处,分别为内上髁和外上髁

胫骨、腓骨
胫骨:位于小腿内侧,分一体两端,上端膨大,向两侧突出,形成内外侧髁;下端稍膨大,其内下有一突起为内踝
腓骨:位于胫骨外后方,分一体两端,上端稍膨大为腓骨头,下端膨大形成外踝

常见疾病
四肢骨折
骨缺血性坏死:股骨头缺血坏死、胫骨结节缺血坏死
骨感染性病变:化脓性性骨髓炎
骨肿瘤样病变:骨纤维异常增殖症、单纯性骨囊肿、动脉瘤样骨囊肿
骨肿瘤:骨样骨瘤、骨软骨瘤、非骨化性纤维瘤、骨巨细胞瘤、骨肉瘤、软骨肉瘤
骨折类型


股骨头缺血坏死
股骨头血供中断受损所致(供血动脉:旋股内侧动脉)
常见危险因素:外伤、糖皮质激素的使用、酗酒、吸烟等
股骨头坏死分期:
0期:所有检查都正常
Ⅰ期:X线、CT正常但MR异常,MR表现出股骨头内线状或带状异常信号,T1WI呈低信号,T2WI呈双线征
Ⅱ期:X线可见异常,硬化、骨小梁缺失,局部有囊变
Ⅲ期:股骨头关节面扁平
Ⅳ期:骨关节炎、关节间隙变窄,髋臼改变、关节破坏等

胫骨结节缺血坏死
又称为osgood-schlatter病,好发于10-13岁青少年,男性多见
常有外伤史,局部疼痛、肿胀、髌韧带增厚,胫骨结节突出明显,髌韧带胫骨结节附着处压痛明显
胫骨结节呈游离状态,局部密度稍增高,周围软组织略隆起

化脓性骨髓炎
以金黄色葡萄球菌感染最多见(72%-85%)
急性:好发于长骨干骺端,慢性:好发于长骨骨干
急性:早期以软组织改变为主;虫蚀样骨质破坏,死骨,软组织肿胀、骨膜下脓肿,髓腔蔓延骨质破坏为主
慢性:骨质破坏周围明显骨质增生,明显骨膜反应;死骨甚至窦道形成修复为主,可掩盖骨质破坏
例1:

58Y/M,发热伴左膝关节疼痛半月,病理:炎性坏死,并见局灶小脓肿形成,另见部分骨髓组织,骨髓腔间肉芽组织增生,符合感染性病变

骨纤维异常增殖症
多发生在青少年,11―30岁为高发年龄
发生部位为一侧肢体的多数骨,以胫骨、股骨、颌骨较多见
囊状膨胀性改变:单囊或多囊,常有硬化边,内缘毛糙
磨玻璃样改变:指囊状膨胀性改变中的密度均匀增高如磨玻璃状
丝瓜瓢样改变:沿纵轴方向走形的粗大骨纹,颇似丝瓜瓤
地图样改变:单发或多发的溶骨性破坏,边缘锐利

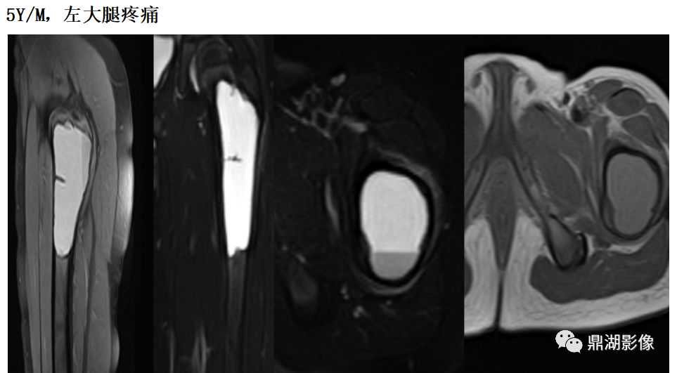
单纯性骨囊肿
最常见于20岁以下
好发于长骨干骺端的松质骨或骨干的髓腔内,尤其是肱骨和股骨上段,不跨越骺板
单发,长径与骨长轴一致
膨胀性生长、皮质变薄,外缘光整并有硬化边
常出现病理性骨折

动脉瘤样骨囊肿
好发于股骨上端、椎体和附件
多发生于10-20岁青少年
囊状膨胀性骨破坏,可见骨性分隔,无钙化
局部骨皮质变薄,骨骼膨大
增强扫描明显强化,可见有粗大的供血动脉
液-液平面为MR特征表现,T2WI上其上部以液体为主,呈现高信号,而下部以含铁血黄素为主,为低信号

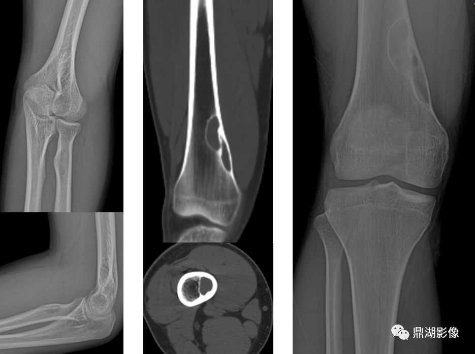
骨样骨瘤
由于成骨细胞及其它骨样组织畸形生长所导致的成骨性肿瘤
常见于30岁以下的青少年
好发于股骨小粗隆、肱骨近端内侧皮质、胫骨远端1/3
多位于骨皮质,骨样组织构成的“瘤巢”(骨质破坏环)及周围的反应硬化
疼痛以夜间明显,口服水杨酸制剂有效

骨软骨瘤
最常见的良性骨肿瘤,又称外生性骨疣。发生于软骨内化骨的骨骼
以四肢长骨干骺端多见,可分为单发和多发两种,单发者多见
肿瘤由骨性基底和软骨帽构成,多背向关节生长,骨皮质和骨小梁与骨干相延续
非骨化性纤维瘤
由纤维组织构成,无成骨,并为骨壳所包绕,周围骨组织反应性增生
5-20岁常见,好发于四肢长骨,以胫骨、股骨最为多见
多在外伤后发现,少数表现为局部疼痛
干骺端偏骨干侧,轻度膨胀多房病变;病灶长轴与骨干一致;无骨化
骨巨细胞瘤
是一种局部侵袭性肿瘤,大部分为良性,部分生长活跃,也有少数一开始就是恶性
男女发病率相近,好发年龄是20-40岁
好发于骨骺板已闭合的四肢长骨骨端,尤其是股骨远端、胫骨近端和桡骨远端
膨胀性多房性偏心性骨破坏,横向生长
分房状或皂泡状,骨破坏区无钙化和骨化影
骨肉瘤
亦称成骨肉瘤,好发年龄11-30岁
好发于股骨下端、胫骨上端干骺端
恶性程度高,早期即可出现肺转移
碱性磷酸酶常明显升高
骨质破坏、云絮状瘤骨、骨膜反应和Codman三角、软组织肿块
分类:成骨型、溶骨型、混合型
软骨肉瘤
起源于软骨或成软骨结缔组织肿瘤,约占骨恶性肿瘤20%
发病年龄多40-70岁,男多于女,长骨及骨盆多见
溶骨性骨质破坏,边界不清,软组织肿块
病灶内可见数量不等、分布不均、疏密不一的钙化
偶见骨膜反应和Codman三角
良恶性骨肿瘤的鉴别
【版权声明】本平台属公益学习平台,转载系出于传递更多学习信息之目的,且已标明作者和出处,如不希望被传播的老师可与我们联系删除