
医脉通编译整理,未经治疗请勿转载。
01
病例资料
患者男性45岁,既往曾诊断为结节病伴肺部和皮肤受累,在过去的4年间一直服用类固醇治疗,并依据症状调整用药剂量。患有类固醇性糖尿病和高血压。因右侧胸痛、体重减轻、厌食和发热1月就诊,应用泼尼松龙10mg/d治疗后,症状控制良好。
初始检查,胸部CT显示右侧结节阴影恶化,认为与结节病恶化相关。痰培养和分枝杆菌基因检测结果均为阴性,患者开始使用甲氨蝶呤10mg/周,皮质类固醇剂量增加至40mg/d。
尽管接受上述治疗,但患者开始出现咳嗽加重、体征进一步减轻、劳力性呼吸短促和右胸肿胀。体温37.8℃,脉搏96次/min,血压150/90mmHg,呼吸频率为22次/min。体格检查发现患者右上背部肿胀,质地柔软,呈波动性,皮肤正常。患者自述于数周前曾摔倒导致背部受伤。胸部听诊发现右侧呼吸音减轻。
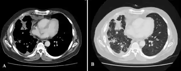
实验室检查显示,白细胞计数13,000/mm3,中性粒细胞占比87.9%。胸部X线显示右肺上叶实变恶化。胸部CT显示右肺疾病进一步恶化,右胸膜间隙积液增多并延伸至胸壁外的右侧胸肌;右肺多发结节,右上肺纤维化(图1)。需与结核病和诺卡菌病相鉴别。

(图1胸部CT检查)
患者行支气管镜检查和支气管肺泡灌洗,包括真菌、细菌、分枝杆菌培养和分枝杆菌GeneXpert检测均为阴性。超声引导下行胸壁肿胀部位抽吸脓性物质培养2周后显示诺卡菌生长。在确认药物敏感性后,患者开始使用复方新诺明(TMP-SMX)进行治疗。当患者结节病缓解时,停用类固醇和甲氨蝶呤。
患者经抗生素治疗效果良好,体温下降,肿胀消退,2个月后体重开始增加。达到完全影像学改善耗时长达10个月。
02

分析讨论
诺卡菌感染的典型表现为免疫功能低下者的机会性感染,已知约有9种诺卡菌会对人致病,包括星形诺卡菌(N.asteroids)、巴西诺卡菌(N.brasiliensis)、豚鼠耳炎诺卡菌(N.otitidiscaviarum)、皮疽诺卡菌(N.farcinica)、脓肿诺卡菌()、新星诺卡菌()、南非诺卡菌()、假巴西诺卡菌()以及非洲诺卡菌()。诺卡菌可由呼吸道吸入或皮肤创口感染,易感人群包括实体器官移植和造血干细胞移植受者,HIV感染者,长期应用类固醇激素以及恶性肿瘤患者。
诺卡菌感染的临床表现多样,很大程度上取决于感染所累及的器官系统。肺部是常见的感染部位,局部的肺部疾病可能经血液播散引起肺以外部位的损害。中枢神经系统受累时往往提示患者预后不良。
诺卡菌病的及时诊断和治疗对于患者来说至关重要。但由于诺卡菌的罕见性以及合并感染的存在通常会导致诺卡菌病诊断延迟。此外,由于诺卡菌感染的非特异性症状、临床表现及与其他呼吸道病原体感染的相似性,也导致诺卡菌病的诊断充满挑战。结核分枝杆菌感染也表现出与肺部诺卡菌病相似的特征,包括发热、体重减轻、咳嗽和肺炎。当临床怀疑诺卡菌病时,应通知实验室采取特殊染色技术和培养基分离培养诺卡菌。
诺卡菌病具有易复发、发病率及病死率高的特点,需要早期、联合、有效的抗感染治疗。诺卡菌属对复方磺胺甲噁唑、阿米卡星、亚胺培南、利奈唑胺、第三代头孢菌素等敏感。
诺卡菌病抗菌药物治疗周期较长,主要根据疾病的部位、严重程度以及患者自身免疫力的强弱来选择疗程。磺胺类药物为一线选择。在停用抗生素后的1年内,需要进行密切监测(包括影像学和实验室检查),以便及时发现感染复发。
诺卡菌病疗程宜长,以防疾病复发,建议持续治疗6-12个月或影像学检查异常消失后继续治疗2-3个月。本例患者有胸壁和肺部受累,基于药物敏感性,使用复方磺胺甲噁唑治疗一年反应良好。
诺卡菌是一种罕见但重要的免疫功能低下者的机会性致病菌,临床医生在接诊此类患者时,应保持对诺卡菌病的高度怀疑指数。诺卡菌病患者的早期诊断和及时治疗可提高患者生存率并获得较好的预后。
参考资料:
1.SanaM,MahmoodButtF,HasanM,etal.(July12,2022)(7):e26769.
2.RawatD,RajasuryaV,ChakrabortyRK,[Updated2021Aug3].In:StatPearls[Internet].TreasureIsland(FL):StatPearlsPublishing;2021Jan-.